LANAP
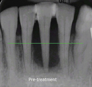
Gingivitis can progress to periodontitis, and once this occurs generally surgical intervention is usually necessary to eliminate the deep pockets which develop between the teeth and gums. If these pockets persist, they become "privileged sites" for bacteria to organize even more colonies.
Traditional gum surgery involves cutting away some of the gum tissue, and reshaping the bone underneath. LANAP is a progressive technique using a specialized laser to destroy the bacteria that cause the disease, and alter the tissue so that it has the opportunity to heal. The use of the laser is less invasive than traditional scalpel surgery, and results in a much faster and less painful recovery.
Video Credit to www.lanap.com
Benefits of LANAP Gum Surgery
Comfort
The LANAP® Procedure utilizes laser technology and doesn't require cutting and suturing. There's much less discomfort with the LANAP® Protocol than with standard surgery — during and after the procedure. Common complaints with the traditional methods of treatment are severe hot and cold sensitivity, exposure of tooth roots, and persistent food impaction between teeth.
Recovery time
It takes less time than traditional surgery. There's less than 24 hour recovery period, so you won't lose time from work. Following traditional surgery, recovery can take between to 2-4 weeks during which patients can experience considerable pain and swelling.
Safety
The LANAP® Procedure is safe for patients with health concerns such as diabetes, HIV, hemophilia, or those taking blood thinners such as Plavix or coumadin.
THE PROCESS - Done by a specialist at Oregon Periodontics ensuring you the best care
Your Surgical Visits
Usually, we treat one half of the mouth at a time. The surgical visits are ideally made one to two weeks apart, and take about two hours each on average. The mouth is numbed, just like if you were having a filling or crown done. Sedation is available if you prefer. The pockets are then measured while you are numb, so that more accurate measurements can be made without causing discomfort.
A first pass is made with the laser, giving the doctor access to the depth of the pockets allowing better visualization of the roots of the teeth. The teeth are then cleaned very thoroughly using ultrasonic instruments, which have tips that vibrate very quickly, loosening up any deposits on the teeth and flushing them away with an irrigating solution.
A second pass is made with the laser, disinfecting the pockets and sealing them up through the formation of a stable blood clot. The bite is then adjusted to minimize destructive, uneven clenching forces on the teeth.
After Surgery: The First Few Days
Most people experience some mild soreness of the treated areas for the first few days. The tissue will appear discolored around the teeth, similar to what a scab looks like when you get it wet. It is very important NOT to brush or pick this away, as this fibrin barrier is what allows the gums underneath to get a head start creating new attachment to the teeth.
Continuing Follow-Up Care
As the gums heal, the teeth will shift, and your bite will need to be adjusted several times over the first few weeks, even for the first year and beyond. Although it seems counter-intuitive, inadequate adjustment is what is usually responsible for soreness or sensitivity following LANAP.
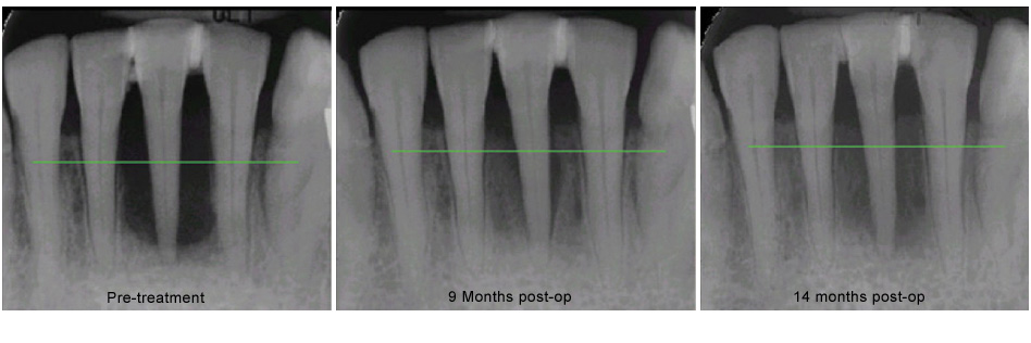
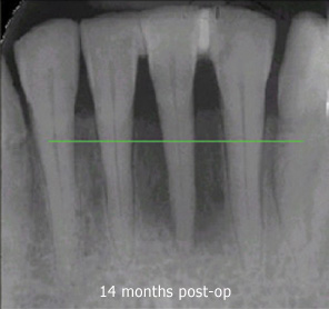
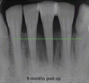
Professional cleaning is recommended every three months for the first year, and re-evaluation of your condition will be done at the twelve month visit. Most people with gum disease remain at risk for the rest of their lives, and would benefit from having their teeth cleaned every three months indefinitely.
Oregon Dental Service