Gum Recession: Gingival Grafts
Gum Recession
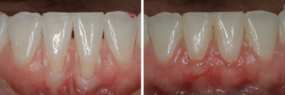
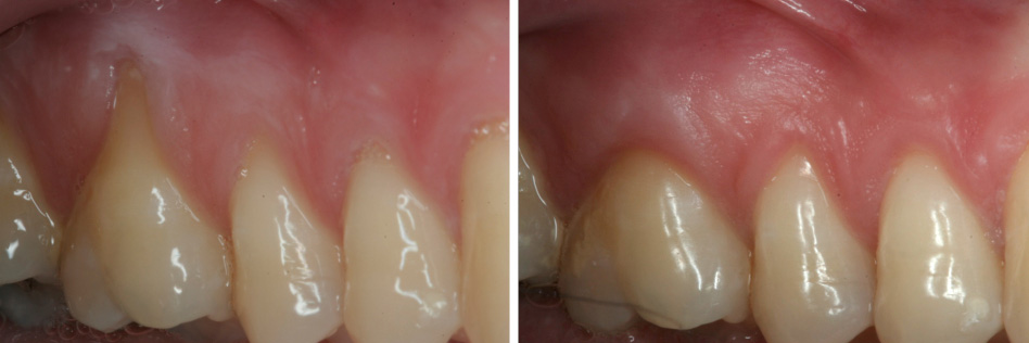
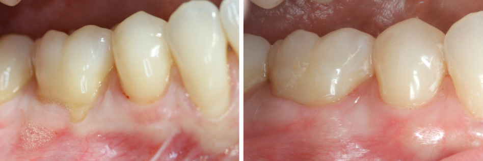
Receding gums are a very common dental problem. Gum recession is a condition where the gum line pulls away or becomes unattached from the tooth exposing the tooth root. Often, gum recession is referred to as being "long in the tooth." This process unfortunately is accompanied with bone loss and can contribute to tooth loss.
How do I know if I have gum recession? Patients with gum recession often experience:
- Sensitivity to hot and cold
- Tenderness to tooth brushing
- Root decay
- Teeth appear longer than normal
- Bleeding gums while brushing or flossing
What Causes gum recession? Gum recession is caused by many factors that include:
- Overzealous tooth brushing
- Crooked teeth
- Prominent lip attachments (frenum).
- Hereditary, born with thin and fragile, as opposed to thick and resilient gum tissue.
Gum Grafts (Gingival Grafts)
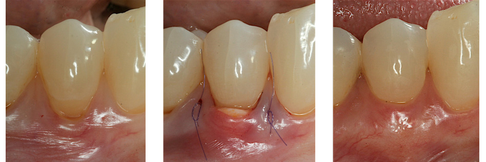
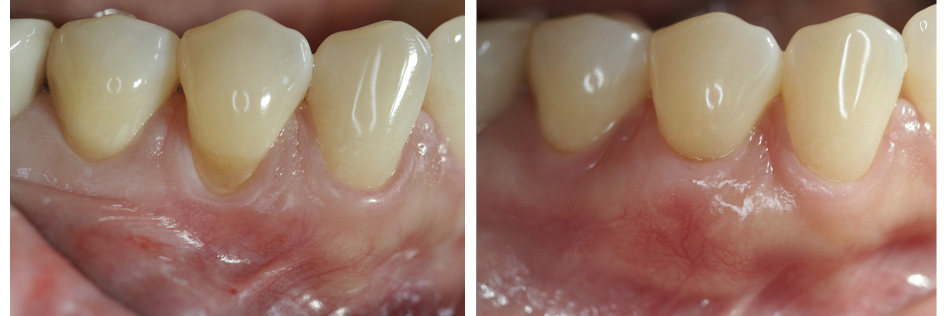
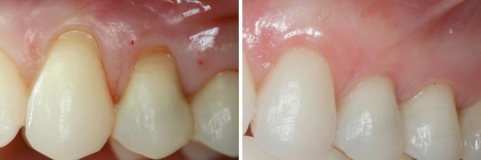
Fortunately, there are solutions for gum recession right here in Portland, Oregon. At Oregon Periodontics we have perfected the gum graft through a microsurgical approach, and are the only office in Portland to use this advanced method. Microsurgery is an ideal solution when treating gum recession because the use of the microscope provides both precision as well as an esthetically pleasing outcome. It differs from a skin graft in that a traditional skin graft leaves an open wound in the roof of the mouth (palate), often painful, and does not cover the exposed root. The color match on a skin graft is often less than ideal. Whereas a microsurgical graft transplants a thin piece of connective tissue gently removed from under the palatal skin. The skin is closed and heals with minimal discomfort. The graft is precisely placed under the gum and over the exposed roots. The microsurgical graft is inherently esthetic by design and accomplishes predictable root coverage and periodontal health.
The benefits of microsurgery include:
- Minimal discomfort
- Rapid healing
- Excellent esthetics
- Minimal interruption to your daily routine.
Oregon Dental Service