Services
At Oregon Periodontics, our goal is to provide the highest quality experience for each patient. Through the art of microsurgery, we can achieve high quality results from minimally invasive procedures. With a warm and inviting atmosphere, we deliver personalized attention and focus on rejuvenation by utilizing the most advanced treatments available. By focusing on non-surgical techniques whenever possible, we provide our patients with comfort and trust that we have their best interest in mind. We genuinely care about delivering a positive experience and satisfaction to our patients that will last forever.
Periodontal Disease Treatment
Gum disease affects more than 75% of the American adult population. Over 50% of people affected with some sort of periodontal disease are unaware they have this condition. At Oregon Periodontics, we are dedicated to helping the Portland population improve and control their gum health.
Periodontal Maintenance Cleaning
Periodontal maintenance is the cornerstone of our practice. We use state-of-the-art technology to preserve the dentin or teeth of patients who are afflicted with periodontal disease.
Our team of hygienists has extensive experience with managing complex periodontal patients. We treat gum disease on a daily basis, using in-depth cleaning techniques that work well below the gum line. Our ability to treat the most complex periodontal disease is supported by our vast experience in handling the needs of any periodontal patient.
Periodontal Disease Treatment Options: LANAP
Traditional gum surgery involves cutting away some of the gum tissue, and reshaping the bone underneath to reduce pockets. LANAP is a progressive technique using a specialized laser to destroy the bacteria that cause the disease, and alter the tissue so that it has the opportunity to heal. The use of the laser is less invasive than traditional scalpel surgery, and results in a much faster and less painful recovery.
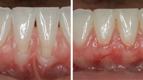
Gum Recession Correct the look of a receding gum-line
Receding gums are a very common dental problem. Gum recession is a condition where the gum line pulls away or becomes unattached from the tooth exposing the tooth root. Often, gum recession is referred to as being "long in the tooth". This process unfortunately is accompanied with bone loss and can contribute to tooth loss.
Gum Grafts (Gingival Grafts)
Microsurgery is an ideal solution when treating gum recession because the use of the microscope provides both precision as well as an esthetically pleasing outcome. It differs from a skin graft in that a traditional skin graft leaves an open wound in the roof of the mouth (palate), often painful, and does not cover the exposed root. The color match on a skin graft is often less than ideal. Whereas a microsurgical graft transplants a thin piece of connective tissue gently removed from under the palatal skin. The skin is closed and heals with minimal discomfort. The graft is precisely placed under the gum and over the exposed roots. The microsurgical graft is inherently esthetic by design and accomplishes predictable root coverage and periodontal health.
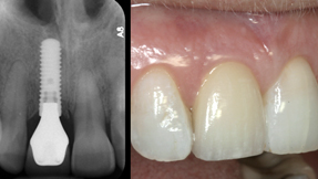
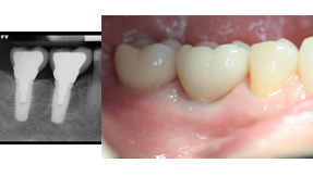
Dental Implants The ideal tooth replacement
Whether teeth are lost to an accident, disease or have been missing since birth, dental implants are the next best thing to natural teeth. A dental implant is placed in the jaw to replace the missing tooth root. Implants look and feel like your natural teeth, and can help prevent bone loss and protect adjacent teeth.
Posterior Implants (Back teeth)
The vast majority of posterior implants are predominantly facilitating function and health. The placement of back teeth is essential because of the majority of the chewing function is on the back teeth. The major benefits include preseveration of the jaw bone, preservation of adjacent teeth structure and eliminating the need for a bridge and prevention of facial collapse which prevents premature aging. Premature aging is prevented by maintaining esthetic dimensions of the dental facial spatial complex, the vertical dimension from the tip of your nose to your chin (occlusion)- bite. The loss of teeth accentuates this, and thus deepens the folds in your face.
Anterior Implants (Front Teeth) using the SMILE™ Technique
For anterior (front) teeth, Dr. Henshaw follows the protocol of the SMILE™ Technique developed by Dr. Dennis Shanelec. He has been personally trained in this technique by Dr. Dennis Shanelec at the MTI, Microsurgical Training Institute. SMILE Technique Implants are a state-of-the-art method for esthetic tooth replacement. The SMILE Technique employs minimally invasive extraction, immediate implant placement, and a temporary crown to preserve your natural smile. The temporary crown emerges from the gum exactly like a natural tooth. This supports the gum to maintain tissue height and shape for ideal esthetics. Patients are never without a tooth and can avoid multiple surgeries with removable temporary teeth.
Conscious Sedation
Oregon Periodontics offers conscious sedation to patients who need, or prefer not to be engaged during surgery. Conscious sedation is both safe, and effective. The combination of sedatives and anesthetics will help you relax and block pain during your surgery. After the procedure, the medicine will wear off gradually, allowing you to recover quickly and return to your daily routine.
You may receive the medicine through an intravenous line (IV) or a shot into a muscle. You will begin to feel drowsy and relaxed very quickly. Patients are still conscious but are not alert. After the procedure the medicine will wear off quickly allowing you to recover and return to your everyday activities soon after your procedure.
Oregon Dental Service