Microsurgery

Minimally Invasive Treatment

Microsurgery leads to improved esthetics, rapid healing, reduced disease and enhanced patient care.

Microscope Centered Periodontist

The first microscope centered periodontal practice in Oregon.

Microsurgery Advantage

The microscope allows the clinician to gather and observe detailed information for a skilled and accurate diagnosis.

What is Microsurgery?


In the pursuit of excellence, Dr. Henshaw is dedicated to the incorporation of Periodontal microsurgery and dental implant microsurgery. Microsurgery ensures a minimally invasive approach to surgery. Patients experience the benefits of Periodontal Microsurgery:

  • Better & More Comfortable Operatory Experience
  • Excellent Clinical Results Due to Enhanced Vision & Precision
  • Rapid Healing and Minimal Post-operative Discomfort

The Benefits


More Comfortable Experience

The patient and doctor are in a more comfortable working environment. Dr. Henshaw works in a more ergonomic position without stress and tension instead of leaning over the paitient. This allows the doctor and patient to be at ease during operating procedures.

Excellent Clinical Results

Using the surgical microscope increases Dr. Henshaw's vision to be able to diagnose and treat where the naked eye is not able. Dr. Henshaw is able to perform his operations with up to 20x the magnification of the naked eye. Increased vision allows for greater precision.

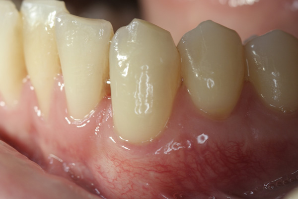
Healing Time Example 1

Before & After Microsurgery

Healing Time Example 1

Pre-Operation

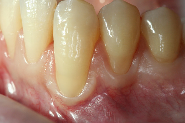
Healing Time Example 2

Seven Days Post-Operation

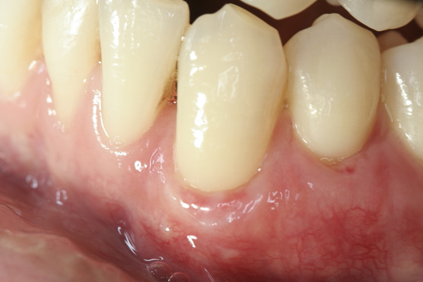
Healing Time Example 3

Six Weeks Post-Operation

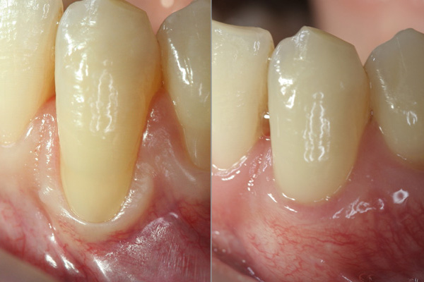
Improved Healing Time

Using a less invasive approach, with smaller sutures and incisions, Dr. Henshaw decreases trauma to the gums and thus increases healing and recovery time.

The Microsurgery Difference

  • Gingival Grafts
Day of Surgery

The Typical Approach

In traditional gum grafting larger tools are used. Larger scalpels, needles and sutures create larger incisions and thus cause more bleeding and pain as well as require more recovery time.

Day of Surgery

The Microsurgical Approach

Dr. Henshaw uses a less invasive microsurgical approach, providing the utmost care and attention to detail. This approach is more precise, causing less trauma and bleeding to the gums.

The First Microscope Centered Periodontal Practice in Oregon

Dr. Henshaw is a microsurgically trained dentist in the state of Oregon.
He was trained by Dr. Dennis Shanelec.

Dr. Henshaw is a contributor in well known microscope textbooks. He has been published in:

  • "The Dental Microscope - Why and How", by Rick Schmidt and Marin Boudro
  • "Carranza's Clinical Periodontology", a widely distributed periodontal textbook

The Tools of Microdentistry



Scalpel

In traditional surgery, the scalpel is approximately 12mm (1/2 in) and the microsurgical scalpel is approximately 3 mm (1/10 in). Greater precision allows for better accuracy and less trauma to the tissues.

Suture & Needle Size

Standard needles are nearly three times the size of microsurgical needles. The suture (thread) is incredibly thin and would compare to a human hair, yet it's strength is comparable to the larger suture.

The Dental Microscope

The microscope makes details and fine structures clearly visible. It enables Dr. Henshaw to better visualize the regions of interest and consistently provide patients with high-quality examinations and treatments. Highly ergonomic functions enable convenient adjustment of the focal length while maintaining preferred working posture. The microscope also has camera options to facilitate patient consultation and documentation; depending on the patient's specific needs.

Dental Publication References



"As medicine and dentistry continue the pursuit of minimally invasive treatment, periodontal microsurgery and its principles will emerge as the methodology to meet both professional and public demand. The microscope provides a tremendous platform from which the microsurgical clinician can gather and observe detailed and precise amounts of information for the diagnosis and treatment of patients with skill and accuracy. Microsurgery leads to improved esthetics, rapid healing, reduced morbidity, and enhanced patient acceptance." -Carranza's Clinical Periodontology (Authors: Michael G. Newman, Henry Takei, Perry R. Klokkevold, Fermin A. Carranza; Contributors: Shanelec D., Henshaw R.)